Durasi perawatan behel/kawat gigi memang tidak sebentar. Setidaknya memerlukan waktu 2 – 3 tahun hingga tercapainya susunan gigi yang baik. Selain itu, ringan atu beratnya kasus kelainan susunan gigi juga akan mempengaruhi durasi perawatan. Jadi, apakah kamu siap mengalami transformasi susunan gigi menjadi baik dan seimbang? Simak artikel berikut ini.
Pemasangan behel atau kawat gigi menjadi solusi yang harus famtree lakukan agar bisa memiliki keseimbangan susunan gigi-geligi. Untuk keberhasilan perawatan, berikut hal yang harus famtree lakukan dengan tertib:
Memilih Dokter Gigi Yang Kompeten
Seorang dokter gigi spesialis orthodonti tentu saja memiliki kompetensi yang lebih baik dalam merawat kasus kelainan susunan gigi.
Menggunakan Bracket Gigi Yang Berkualitas
Keberhasilan perawatan juga akan ditentukan dengan bracket gigi, kawat dan lem bracket yang berkualitas, agar proses perawatan dapat berjalan sesuai rencana.
Gambar : pilihan bracket berkualitas
Rajin Kontrol Bracket
Setiap 3 minggu atau 1 bulan sekali, dokter gigi akan memintamu datang untuk kontrol atau aktivasi kawat gigi. Hal ini memegang peranan penting loh, agar rencana perawatan bisa dilakukan dan memberikan hasil sesuai harapan.
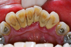
Menjaga Kebersihan Rongga Mulut
Menyikat gigi pada pasien behel tentu akan lebih sulit, namun tetap harus dilakukan. Jaga kebersihan rongga mulut agar bebas dari plak, gingivitis dan gigi berlubang.
Menjaga Pola Makan
Beberapa makanan keras tidak boleh dikonsumsi dulu ya famtree, agar bracket dan kawat gigimu tidak rusak. Hindari sementara menggigit apel atau buah keras lainnya.
Menggunakan Retainer
Nah ini yang terakhir, kalau famtree sudah lepas behel. Kamu harus menggunakan retainer setiap malam untuk menjaga susunan gigimu yang baru tidak kembali ke kondisi awal.
Gambar: contoh retainer rahang bawah
Jadi, sudah siap untuk memberikan komitmen famtree dalam menyukseskan perawatan behel? Yuk, buat appointment kamu di Identistree Dental Clinic. Hubungi kami melalui melalui whatsapp dan follow akun Instagram untuk info terlengkap dan terbaru.
Sumber: berbagai sumber
IDENTISTREE Dental Clinic
Telepon (021) 293 14 707
WhatsApp 0812 9894 0419
Instagram @identistree.dentalclinic
www.identistree-clinic.com